Вход
Рейтинг
Новости
Видео
Регионы
Библиотека
Дни рождения
Отправить биографию
Главная
Публикации
Эксклюзив
21 апреля 2025
76650
Шахов Владимир Павлович - фото из публикаций
Shahov Vladimir Pavlovich
09 ноября 1955 года
Биография
Галерея (35)
Упоминания (9)
Обращения (0)
Фото из публикаций
Фотографии
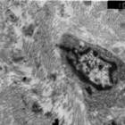
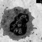
Электронная мироскопия МСК в 7-суточной культуре клеток костного мозга in vitro мышей линии
фото 4
фото 6
Гемопоэтические островки гранулоцитарного типов
Гемопоэтические островки эритро-гранулоцитарного типов
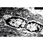
Сканирующая электронная микроскопия мезенхимальных островков
Рис. 4.
Нативный препарат сердца крысы линии "Вистар" на 30 сутки после окклюзии нисходящей коронарной артерии левого желудочка.
Миокарда крысы на 3-е сутки после коронароокклюзии.
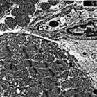
. Электронная микроскопия миокарда мыши линии СВА в около инфарктной зоне на 7 сутки
. Электронная микроскопия миокарда мыши линии СВА в около инфарктной зоне на и 14 сутки (Б) после коронароокклюзии
Электронная микроскопия миокарда крысы в зоне развития кардиосклероза на 14 сут. после коронароокклюзии. В центре расположен фиб
Влияние трансплантации МСК костного мозга мышей линии СВА на размеры сердца на 35 сутки после коронароокклюзии.
Делящийся кардиомиоцит в периинфарктной зоне инфаркта на фоне введения МСК, после коронароокклюзии
Морфометрическая реконструкция площади левого желудочка через 1,5 месяца после коронароокклуюзии
непорежденный миокард
Влияние введения МСК в миокард при моделировании острого инфаркта миокарда с помощью коронароокклюзии в эксперименте
Микрофотографий трехмерного скаффолда из коллагена и желатина после 2-недельного культивирования в системе in vitro
Схематическое изображение многофункционального интеллектуального имплантата
фото 2ц2
Путь введения
Рис.15.
ипм
рис 15 В
трехмерное изображение сердца с введенным катетером в периинфарктную зону
концевая часть универсального катетера на котором расположен детектор для получения 3D картины сердца,
фото 2
фото 3
фото 4
фото 5
фото 6
фото 7
фото 5п5
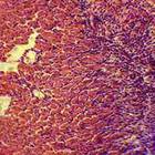
Рис. 1. "Мягкая" атеросклеротическая бляшка в начале процесса дестабилизации.
Вход
Предложить правку
Рейтинг всех персональных страниц
Избранные публикации
Подберезкин Алексей Иванович
Национальный человеческий КАПИТАЛЪ. Том I
Подберезкин Алексей Иванович
Национальный человеческий КАПИТАЛЪ. Том II
Подберезкин Алексей Иванович
Национальный человеческий КАПИТАЛЪ. Том III
Подберезкин Алексей Иванович
Евразийская воздушно-космическая оборона
Подберезкин Алексей Иванович
Национальный человеческий КАПИТАЛЪ. Том IV
Подберезкин Алексей Иванович
Военные угрозы России
Подберезкин Алексей Иванович
Военно-политические аспекты прогнозирования мирового развития
Подберезкин Алексей Иванович
Аналитический доклад: Долгосрочное прогнозирование развития международной обстановки
Подберезкин Алексей Иванович
Аналитический доклад: Долгосрочные сценарии развития стратегической обстановки, войн и военных конфликтов в XXI веке
Подберезкин Алексей Иванович
Алексей Подберезкин: Третья мировая война против России: введение к исследованию
Подберезкин Алексей Иванович
Стратегическое прогнозирование и планирование внешней и оборонной политики. Том I
Подберезкин Алексей Иванович
Стратегическое прогнозирование и планирование внешней и оборонной политики. Том II
Подберезкин Алексей Иванович
Долгосрочное прогнозирование сценариев развития ВПО
Подберезкин Алексей Иванович
Некоторые аспекты анализа военно-политической обстановки
Подберезкин Алексей Иванович
Аналитический доклад: Прогнозирование международной ситуации: угрозы безопасности и военная политика России
Подберезкин Алексей Иванович
Вероятный сценарий развития международной обстановки после 2021 года
Подберезкин Алексей Иванович
Мир и война в XXI веке: опыт долгосрочного прогнозирования развития международных отношений
Подберезкин Алексей Иванович
Современная международная обстановка: цивилизации, идеологии, элиты
Подберезкин Алексей Иванович
Фундаментальное исследование ЦВПИ о стратегическом прогнозировании международных отношений
Подберезкин Алексей Иванович
Проект долгосрочной стратегии национальной безопасности России с методологическими и методическими комментариями
Подберезкин Алексей Иванович
Стратегия национальной безопасности России в XXI веке
Как стать нашим автором?
Прислать нам свою биографию или статью
Стать автором
Продвижение страницы
Присылайте нам любой материал и, если он не содержит сведений запрещенных к публикации
в СМИ законом и соответствует политике нашего портала, он будет опубликован